Bergmann M Pleuraerguss – diagnostische Abklärung und therapeutische Möglichkeiten // Pleural fluid – diagnostic assessment and therapeutic options Journal für Pneumologie 2024; 12 (2): 17-22 Volltext (PDF) Summary Übersicht | ||||||||||||||||||
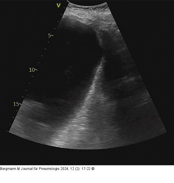
Abbildung 7: Abgeplattetes/invertiertes Zwerchfell Abgeplattetes/invertiertes Zwerchfell im Ultraschall |
Abbildung 7: Abgeplattetes/invertiertes Zwerchfell
Abgeplattetes/invertiertes Zwerchfell im Ultraschall |
