Auer J, Eber B, Maurer E Akutes Koronarsyndrom bei Stenose des Hauptstammes der linken Herzkranzarterie Journal für Kardiologie - Austrian Journal of Cardiology 2004; 11 (4): 169-171 Volltext (PDF) Übersicht | ||||||||||||||||||
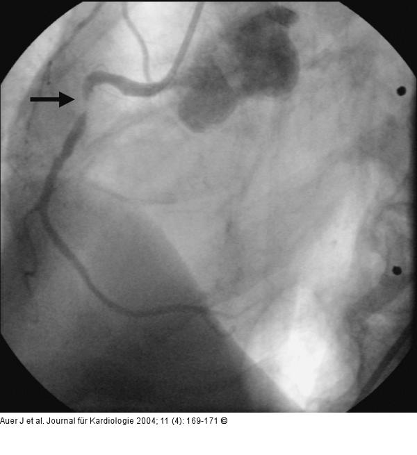
Abbildung 8: Akutes Koronarsyndrom - Stenose der linken Herzkranzarterie Progression in der proximalen rechten Herzkranzarterie mit einer nunmehr höchstgradigen Stenose |
Abbildung 8: Akutes Koronarsyndrom - Stenose der linken Herzkranzarterie
Progression in der proximalen rechten Herzkranzarterie mit einer nunmehr höchstgradigen Stenose |
