Minar E, Ahmadi R Erfahrungen mit der endovaskulären Therapie der Karotisstenose Journal für Neurologie, Neurochirurgie und Psychiatrie 2003; 4 (1): 27-32 Volltext (PDF) Summary Übersicht | ||||||||||||||||
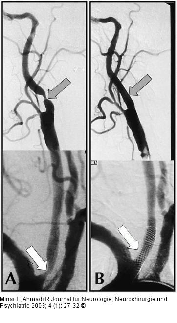
Abbildung 6A-B: Arteria carotis - Stenose - Stent A) Abgangsstenose der A. carotis communis rechts sowie hochgradige Stenose der A. carotis interna rechts; B) angiographisches Ergebnis nach erfolgreicher Stentangioplastie im Bereich der A. carotis communis und der A. carotis interna |
Abbildung 6A-B: Arteria carotis - Stenose - Stent
A) Abgangsstenose der A. carotis communis rechts sowie hochgradige Stenose der A. carotis interna rechts; B) angiographisches Ergebnis nach erfolgreicher Stentangioplastie im Bereich der A. carotis communis und der A. carotis interna |
