Volc D Kennen Sie Binswanger? Journal für Neurologie, Neurochirurgie und Psychiatrie 2002; 3 (2): 59-62 Volltext (PDF) Summary Übersicht | ||
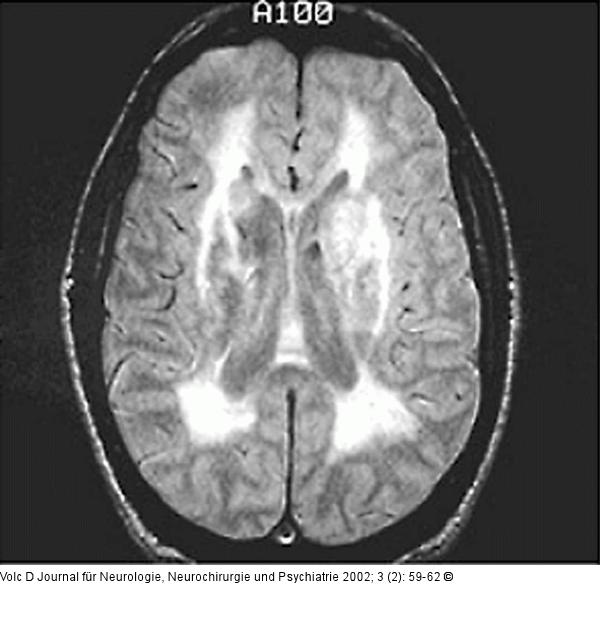
Abbildung 1: Morbus Binswanger - Demenz Magnetresonanztomographie |
Abbildung 1: Morbus Binswanger - Demenz
Magnetresonanztomographie |
