| Volc D | ||
|---|---|---|
|
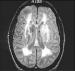
Kennen Sie Binswanger? Journal für Neurologie, Neurochirurgie und Psychiatrie 2002; 3 (2): 59-62 Volltext (PDF) Summary Abbildungen Keywords: Demenz, Morbus Binswanger, Neurologie Otto Ludwig Binswanger, 1852-1929, deutscher Nervenarzt, Jena. Zeitweise Mitarbeiter von Alois Alzheimer. Senile Demenz Binswanger Typ oder Morbus Binswanger wird meist für eine seltene Form der senilen Demenz gehalten. Mit zunehmender Verbreitung und häufigerer Anwendung von Neuroimaging-Methoden, wie Computertomographie (CT) und Magnetresonanz-Imaging (MRI), hat sich die Diagnose häufiger stellen lassen. Zahlreiche Namen sind diesem Zustand gegeben worden. 1894 hat Binswanger eine Form von Demenz erstmals als "encephalitis subcorticalis chronica progressiva" beschrieben und unterschied diese von der Neurosyphilis und anderen Formen. Er hat die Krankheit charakterisiert als Läsionen des subkortikalen Marklagers mit "schwerer Atheromatosis der Arterien", vergrößerten Ventrikeln und normaler Rinde. Der Begriff "Binswanger-Krankheit" wurde 1902 durch Alzheimer eingeführt. Der Begriff "subcortical arteriosclerotic encephalopathy" wird seit 1962 benutzt, und der Begriff "Multi-Infarkt-Demenz" hat seit 1974 weite Verbreitung gefunden. Als Überbegriff wird vaskuläre Demenz gebraucht und schließt sowohl den M. Binswanger als auch lakunäre thrombotische und embolische Gehirninfarkte mit ein. Der Begriff "senile dementia Binswanger type" wurde 1987 empfohlen. |
