Schaden W, Fischer A, Sailer A Extrakorporale Stoßwellentherapie (ESWT) aus der Sicht der Traumatologie Journal für Mineralstoffwechsel & Muskuloskelettale Erkrankungen 2004; 11 (4): 40-45 Volltext (PDF) Summary Übersicht | ||||||
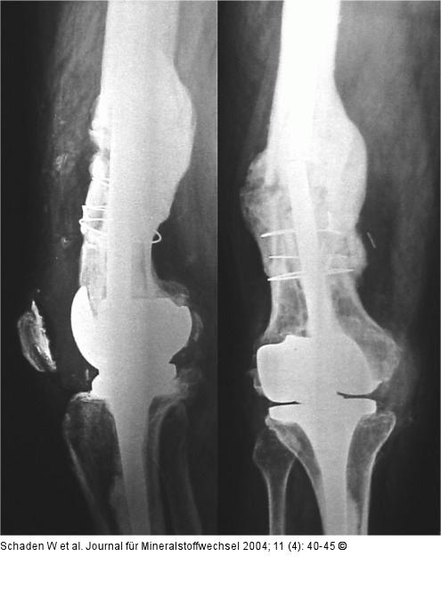
Abbildung 3: Kniegelenksprothese - ESWT Ausheilungsergebnis 6 Monate nach ESWT in geringer Varusfehlstellung. |
Abbildung 3: Kniegelenksprothese - ESWT
Ausheilungsergebnis 6 Monate nach ESWT in geringer Varusfehlstellung. |
