Voggenreiter G, Brocker K, Düber C, Obertacke U, Röhrl B, Sadik M Behandlungsergebnisse der Ballonkyphoplastik bei osteoporotischen Wirbelkörperfrakturen im höheren Lebensalter Journal für Mineralstoffwechsel & Muskuloskelettale Erkrankungen 2005; 12 (2): 40-42 Volltext (PDF) Summary Übersicht | ||||||||
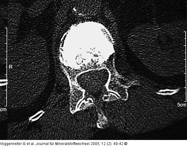
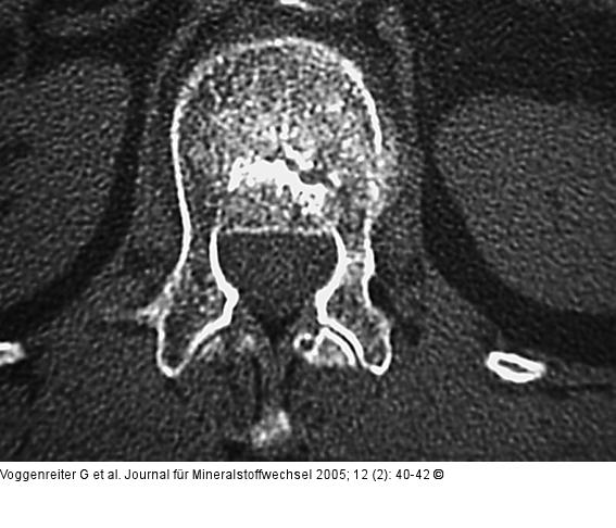
Abbildung 4a-d: Wirbelkörperaufrichtung - postoperative Darstellung Postoperative Darstellung der Zementverteilung und der Wirbelkörperaufrichtung im CT. Trotz Beteiligung der Wirbelkörperhinterkante kam es zu keiner weiteren Einengung des Spinalkanals, sondern durch Ligamentotaxis eher zu einer Erweiterung. Das postoperative Kontroll-CT zeigt eine Reduktion der Kyphose bei klinischer Beschwerdefreiheit der Patientin. |
Abbildung 4a
Abbildung 4b
Abbildung 4c
Abbildung 4d
Abbildung 4a-d: Wirbelkörperaufrichtung - postoperative Darstellung
Postoperative Darstellung der Zementverteilung und der Wirbelkörperaufrichtung im CT. Trotz Beteiligung der Wirbelkörperhinterkante kam es zu keiner weiteren Einengung des Spinalkanals, sondern durch Ligamentotaxis eher zu einer Erweiterung. Das postoperative Kontroll-CT zeigt eine Reduktion der Kyphose bei klinischer Beschwerdefreiheit der Patientin. |
