Wallner H Akutes koronares Syndrom bei bekannter koronarer Herzerkrankung Journal für Kardiologie - Austrian Journal of Cardiology 2005; 12 (11-12): 316 Volltext (PDF) Fallbeschreibung Übersicht
| ||||||||||||||||||
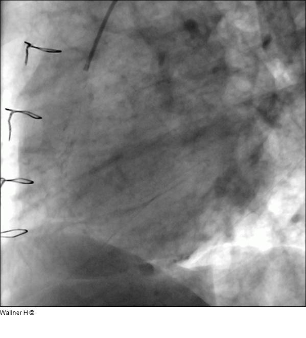
Abbildung 6: Saphena Vena Graft auf die rechte Kranzarterie (RAO 60°/0°) Darstellung mit einem 6F multipurpose Katheter und nach Sondierung mit einem 0,014„ Skipper wire (Invatec™), Einbringung eines Export Katheters (Medtronic™) mit konsekutiver Aspiration von Thrombus. |
Film starten
Abbildung 6: Saphena Vena Graft auf die rechte Kranzarterie (RAO 60°/0°)
Darstellung mit einem 6F multipurpose Katheter und nach Sondierung mit einem 0,014„ Skipper wire (Invatec™), Einbringung eines Export Katheters (Medtronic™) mit konsekutiver Aspiration von Thrombus. |
