Kerschner K Fallbericht: Intervention an der distalen Anastomose eines 20 Jahre alten Venenbypasses zum R. interventricularis anterior Journal für Kardiologie - Austrian Journal of Cardiology 2006; 13 (1-2): 28-30 Volltext (PDF) Fallbeschreibung Übersicht
| ||||||||||||||||
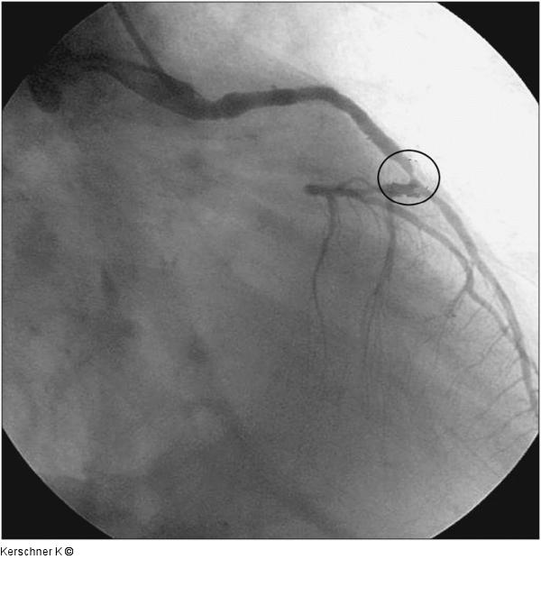
Abbildung 1: Aortokoronarer Venenbypass - RAO-Projektion Aortokoronarer Venenbypass zum LAD mit 90%iger Stenose an der distalen Anastomose. RAO-Projektion |
Film starten
Abbildung 1: Aortokoronarer Venenbypass - RAO-Projektion
Aortokoronarer Venenbypass zum LAD mit 90%iger Stenose an der distalen Anastomose. RAO-Projektion |
