Kerschner K Fallbericht: Intervention an der distalen Anastomose eines 20 Jahre alten Venenbypasses zum R. interventricularis anterior Journal für Kardiologie - Austrian Journal of Cardiology 2006; 13 (1-2): 28-30 Volltext (PDF) Fallbeschreibung Übersicht
| ||||||||||||||||||
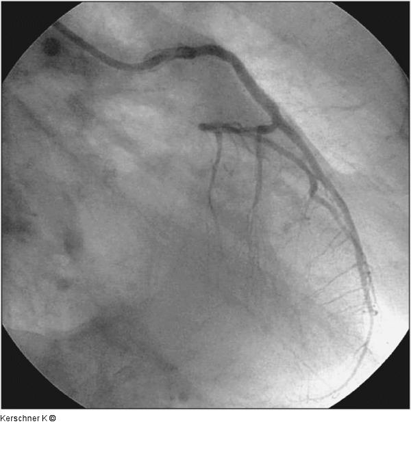
Abbildung 7: Kissing-Ballon - RAO-Projektion Endergebnis nach Kissing-Ballon - RAO-Projektion |
Film starten
Abbildung 7: Kissing-Ballon - RAO-Projektion
Endergebnis nach Kissing-Ballon - RAO-Projektion |
