Latta HJ Interventionelle Schmerzdiagnostik und -therapie bei Wirbelsäulenstörungen - State of the Art Journal für Mineralstoffwechsel & Muskuloskelettale Erkrankungen 2006; 13 (1): 10-13 Volltext (PDF) Summary Übersicht | ||||||||||||||
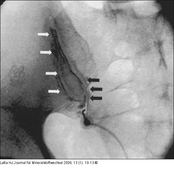
Abbildung 3a-b: Ileosakralgelenk Intraartikuläre Darstellung des linken Ileosakralgelenkes mit KM in zwei Ebenen. |
Abbildung 3a
Abbildung 3b
Abbildung 3a-b: Ileosakralgelenk
Intraartikuläre Darstellung des linken Ileosakralgelenkes mit KM in zwei Ebenen. |
