Schima W Aktuelle Bilder: Fehllage einer Magensonde Journal für Gastroenterologische und Hepatologische Erkrankungen 2006; 4 (2): 21 Volltext (PDF) Übersicht | ||||||
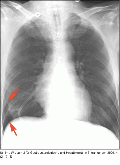
Abbildung 1: Magensonde - Fehllage Tracheobronchiale Fehllage der Magensonde mit der Spitze im Pleurasinus. Es besteht ein Pneumothorax rechts basal (Pfeile). |
Abbildung 1: Magensonde - Fehllage
Tracheobronchiale Fehllage der Magensonde mit der Spitze im Pleurasinus. Es besteht ein Pneumothorax rechts basal (Pfeile). |
