Schima W Aktuelle Bilder: Fehllage einer Magensonde Journal für Gastroenterologische und Hepatologische Erkrankungen 2006; 4 (2): 21 Volltext (PDF) Übersicht | ||||||
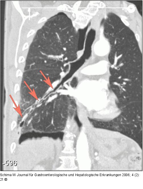
Abbildung 2b: Lungenparenchym Die 3D-Rekonstruktion der CT zeigt anschaulich den Trakt im Lungenparenchym vom Unterlappenbronchus bis zur Pleura (Pfeile). |
Abbildung 2b: Lungenparenchym
Die 3D-Rekonstruktion der CT zeigt anschaulich den Trakt im Lungenparenchym vom Unterlappenbronchus bis zur Pleura (Pfeile). |
