Schima W Aktuelle Bilder: Fehllage einer Magensonde Journal für Gastroenterologische und Hepatologische Erkrankungen 2006; 4 (2): 21 Volltext (PDF) Übersicht | ||||||
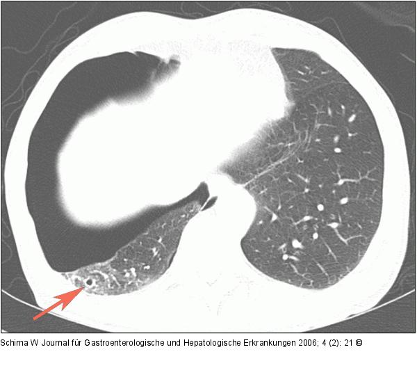
Abbildung 2a: Pneumothorax Das axiale CT-Bild zeigt einen großen Pneumothorax, man erkennt das Loch im Lungenparenchym durch die Magensonde (Pfeil). |
Abbildung 2a: Pneumothorax
Das axiale CT-Bild zeigt einen großen Pneumothorax, man erkennt das Loch im Lungenparenchym durch die Magensonde (Pfeil). |
