Binder T Evaluierung zur kardialen Resynchronisationstherapie (CRT) - Die echokardiographische Untersuchung Journal für Kardiologie - Austrian Journal of Cardiology 2007; 14 (3-4): 63-70 Volltext (PDF) Fallbeschreibung Übersicht
| ||||||||||||||||||
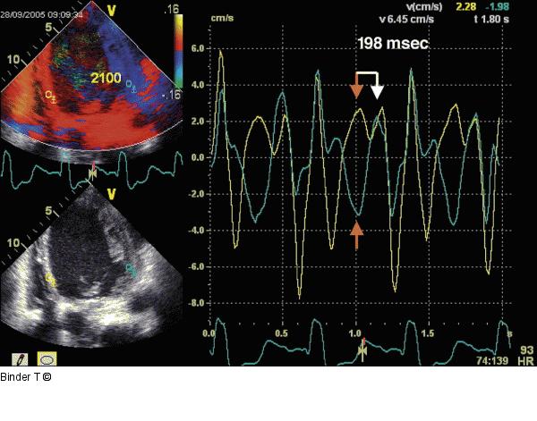
Abbildung 16: Gewebedoppler ("offline") basal laterale Wand und basales Septum Gewebedoppler (Offline-Analyse) mit dem Meßpunkt im Bereich der basalen lateralen Wand (blaue Kurve) und im basalen Septum (gelbe Kurve). Eindeutig erkennbar ist die biphasische Bewegung des Septums (oberer Pfeile) und der unterschiedliche Kontraktions- und Relaxationsablauf zwischen den beiden Wandabschnitten. |
Abbildung 16: Gewebedoppler ("offline") basal laterale Wand und basales Septum
Gewebedoppler (Offline-Analyse) mit dem Meßpunkt im Bereich der basalen lateralen Wand (blaue Kurve) und im basalen Septum (gelbe Kurve). Eindeutig erkennbar ist die biphasische Bewegung des Septums (oberer Pfeile) und der unterschiedliche Kontraktions- und Relaxationsablauf zwischen den beiden Wandabschnitten. |
