Glaser F Echokardiographie aktuell: Herzinsuffizienz bei mechanischer Aortenklappenprothese Journal für Kardiologie - Austrian Journal of Cardiology 2007; 14 (9-10): 292-296 Volltext (PDF) Fallbeschreibung Übersicht
| ||||||||||||||||
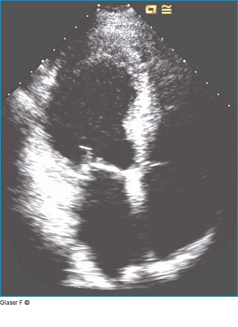
Abbildung 2: Lange Achse Apikale Lange Achse: Global mäßig reduzierte Linksventrikelfunktion, vergrößerter linker Vorhof, posterolaterale Hypo- bis Akinesie. |
Film starten
Abbildung 2: Lange Achse
Apikale Lange Achse: Global mäßig reduzierte Linksventrikelfunktion, vergrößerter linker Vorhof, posterolaterale Hypo- bis Akinesie. |
