Glaser F Echokardiographie aktuell: Herzinsuffizienz bei mechanischer Aortenklappenprothese Journal für Kardiologie - Austrian Journal of Cardiology 2007; 14 (9-10): 292-296 Volltext (PDF) Fallbeschreibung Übersicht
| ||||||||||||||||||
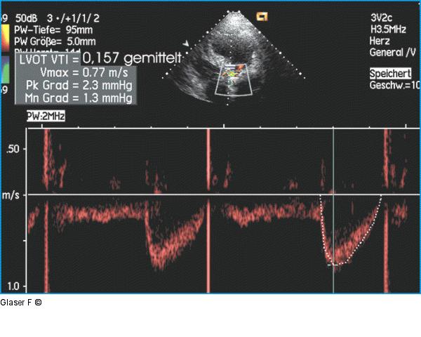
Abbildung 6: Gepulster Doppler - LVOT Gepulster Doppler des linksventrikulären Ausflußtraktes (LVOT): niedrige Geschwindigkeit, niedriges Velocity-Time-Integral (VTI). Das Verhältnis LVOT/VTI/Aortenprotesen-VTI von nur 0,23 ist niedrig (normal bei Zweiflügelklappenprothesen 0,41 ± 12), woraus sich bei einem LVOT-Durchmesser von 20 mm eine errechnete Prothesenöffnungsfläche von 0,73 cm2 ergibt. |
Abbildung 6: Gepulster Doppler - LVOT
Gepulster Doppler des linksventrikulären Ausflußtraktes (LVOT): niedrige Geschwindigkeit, niedriges Velocity-Time-Integral (VTI). Das Verhältnis LVOT/VTI/Aortenprotesen-VTI von nur 0,23 ist niedrig (normal bei Zweiflügelklappenprothesen 0,41 ± 12), woraus sich bei einem LVOT-Durchmesser von 20 mm eine errechnete Prothesenöffnungsfläche von 0,73 cm2 ergibt. |
