Glaser F Echokardiographie aktuell: Herzinsuffizienz bei mechanischer Aortenklappenprothese Journal für Kardiologie - Austrian Journal of Cardiology 2007; 14 (9-10): 292-296 Volltext (PDF) Fallbeschreibung Übersicht
| ||||||||||||||||||
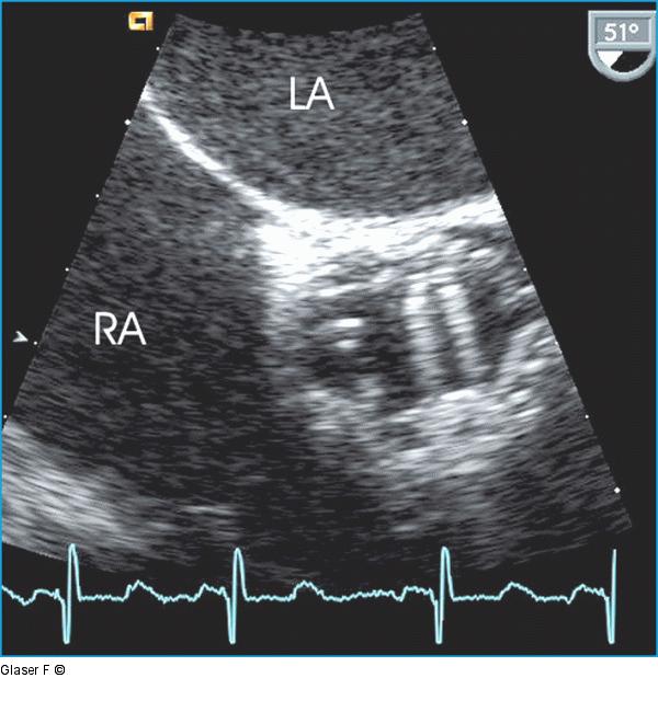
Abbildung 8: Transösophageales Echo - Aortenklappe Transösophageales Echo der Aortenklappenprothese (Querschnitt 51°): Das Klappenspiel ist besser, aber immer noch nicht optimal beurteilbar. |
Film starten
Abbildung 8: Transösophageales Echo - Aortenklappe
Transösophageales Echo der Aortenklappenprothese (Querschnitt 51°): Das Klappenspiel ist besser, aber immer noch nicht optimal beurteilbar. |
