Krause und Pachernegg
Verlag für Medizin und Wirtschaft
Artikel   Bilder   Volltext

Mobile Version
A-  |   A  |   A+
Werbung
 
Figures and Graphics
Smits M  
Functional Magnetic Resonance Imaging (fMRI) in Brain Tumour Patients

European Association of NeuroOncology Magazine 2012; 2 (3): 123-128

PDF    Summary    Figures   


Figure
 
Brain tumour
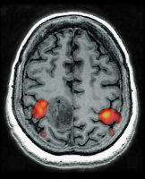
Figure 1: Brain tumour localised in the primary hand motor cortex as evidenced by fMRI activation of a bilateral finger tapping task adjacent to the tumour in the precentral and post-central cortex bilaterally.


Keywords: brainfMRITumor
 
 
Brain tumour
Figure 2: Brain tumour localised in the left temporal lobe of a left-handed patient. fMRI activation of a verb-to-noun generation is present in the expressive language area in the inferior frontal gyrus (arrow), as well as in the receptive language areas in the posterior temporo-parietal cortex (arrowheads). Activation is more pronounced in the left hemisphere, indicating a left-lateralised hemispheric language representation.


Keywords: brainfMRITumor
 
 
Brain tumour
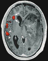
Figure 3: Large high-grade tumour in the left temporal lobe of a right-handed patient. fMRI activation of a verb generation task is present in the expressive-language area in the inferior frontal gyrus (arrows), as well as in the receptive-language areas in the posterior temporo-parietal cortex (arrowheads) in the right hemisphere. No activation is seen in the left hemisphere. Upon surgery, a left-lateralised hemispheric language representation was found with ECM, as would be expected in a right-handed patient. The atypical lateralisation towards the right hemisphere found with fMRI is most likely due to a tumour (mass) effect decreasing the BOLD signal in the affected left hemisphere.


Keywords: brainfMRITumor
 
 
Brain tumour
Figure 4: Combined fMRI and DTI tractography in a coronal view of a patient with a tumour near the primary motor cortex. Displacement of both the primary motor cortex (arrows) and the corticospinal tract (arrowheads) is seen.


Keywords: brainfMRITumor
 
 
 
copyright © 2000–2026 Krause & Pachernegg GmbH | Sitemap | Datenschutz | Impressum