Smits M Functional Magnetic Resonance Imaging (fMRI) in Brain Tumour Patients European Association of NeuroOncology Magazine 2012; 2 (3): 123-128 PDF Summary Overview | ||||||||
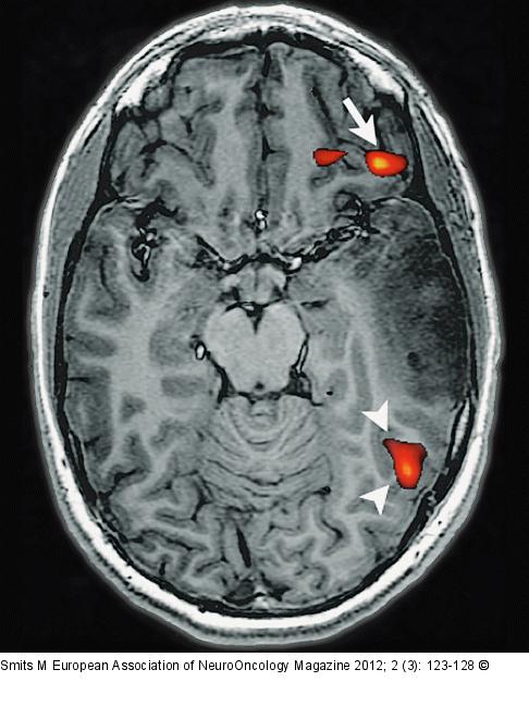
Figure/Graphic 2: Brain tumour Brain tumour localised in the left temporal lobe of a left-handed patient. fMRI activation of a verb-to-noun generation is present in the expressive language area in the inferior frontal gyrus (arrow), as well as in the receptive language areas in the posterior temporo-parietal cortex (arrowheads). Activation is more pronounced in the left hemisphere, indicating a left-lateralised hemispheric language representation. |
Figure/Graphic 2: Brain tumour
Brain tumour localised in the left temporal lobe of a left-handed patient. fMRI activation of a verb-to-noun generation is present in the expressive language area in the inferior frontal gyrus (arrow), as well as in the receptive language areas in the posterior temporo-parietal cortex (arrowheads). Activation is more pronounced in the left hemisphere, indicating a left-lateralised hemispheric language representation. |
