Smits M Functional Magnetic Resonance Imaging (fMRI) in Brain Tumour Patients European Association of NeuroOncology Magazine 2012; 2 (3): 123-128 PDF Summary Overview | ||||||||
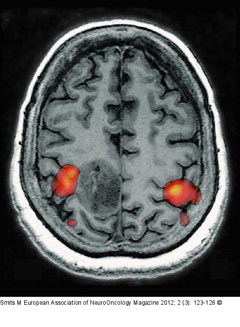
Figure/Graphic 1: Brain tumour Brain tumour localised in the primary hand motor cortex as evidenced by fMRI activation of a bilateral finger tapping task adjacent to the tumour in the precentral and post-central cortex bilaterally. |
Figure/Graphic 1: Brain tumour
Brain tumour localised in the primary hand motor cortex as evidenced by fMRI activation of a bilateral finger tapping task adjacent to the tumour in the precentral and post-central cortex bilaterally. |
