Winking M Die rheumatische Wirbelsäule Journal für Neurologie, Neurochirurgie und Psychiatrie 2014; 15 (2): 82-88 Volltext (PDF) Summary Praxisrelevanz Übersicht | ||||||||||||||||
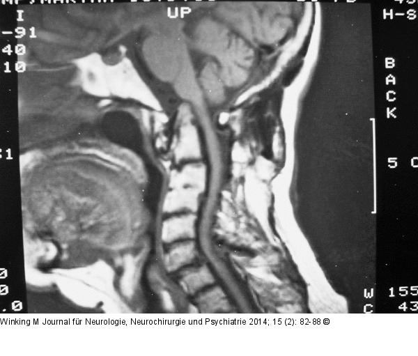
Abbildung 2: Rheumatische Wirbelsäule Sagittales T2-MRT mit Vertikalluxation des Dens. |
Abbildung 2: Rheumatische Wirbelsäule
Sagittales T2-MRT mit Vertikalluxation des Dens. |
