Krause und Pachernegg
Verlag für Medizin und Wirtschaft
Artikel   Bilder   Volltext

Mobile Version
A-  |   A  |   A+
Werbung
 
Abbildungen und Graphiken
Kitz K  
Das Gamma Knife - eine Übersicht

Journal für Neurologie, Neurochirurgie und Psychiatrie 2002; 3 (3): 21-24

Volltext (PDF)    Summary    Abbildungen   


Abbildung
 
Gamma Knife
Abbildung 1: Gamma Knife mit Narkoseeinheit (AKH, Wien)


Keywords: FotoGamma KnifeNeurochirurgie
 
 
Gamma Knife - Innenkollimator
Abbildung 2: Position des Patienten im Innenkollimator


Keywords: FotoGamma KnifeInnenkollimatorNeurochirurgie
 
 
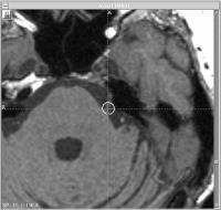
Akustikusneurinom - Planungs-MRT für Gamma Knife
Abbildung 3a-b: 3a: Zystisches Akustikusneurinom re, Gamma Knife Planungs-MRT (T1 mit KM, 3 mm). 3b: Kontroll-MRT nach 48 Monaten, signifikante Tumorregression


Keywords: Gamma KnifeKontrolleMagnetresonanztomographieNeurochirurgiePlanungTumorZystisches Akustikusneurinom
 
 
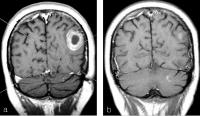
Hirnmetastase - Planungs-MRT für Gamma Knife
Abbildung 4a-b: 4a: Hirnmetastase (multipel) bei Adeno-Ca der Lunge, Planungs-MRT (T1 mit KM, 3 mm). 4b: Kontroll-MRT (T1 mit KM) 7 Monate nach Gamma Knife und Ganzhirnbestrahlung.


Keywords: Gamma KnifeHirnmetastaseKontrolleMagnetresonanztomographieNeurochirurgiePlanung
 
 
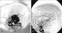
AV-Malformation - Planung für Gamma Knife
Abbildung 5a-b: 5a: AVM im Thalamus re, St. p. Blutung, St. p. Teilexstirpation, Gamma Knife-Planungsangiographie (A. carotis interna re). 5b: Kontrollangiographie (A. carotis interna re.) nach 36 Monaten, komplette Obliteration der AV-Malformation


Keywords: AngiographieArteria carotis internaArteriovenöse MalformationGamma KnifeKontrolleNeurochirurgiePlanungThalamus
 
 
Gamma Knife - Dosisplan
Abbildung 6: Dosisplan bei Trigeminusneuralgie li (2. Ast), Isodosenlinie auf dem N. trigeminus li im Bereich der Eintrittszone (70 Gy Zentrumsdosis), komplette Schmerzfreiheit nach 2 Monaten.


Keywords: DosisplanGamma KnifeIsodosenlinieMagnetresonanztomographieNervus trigeminusNeurochirurgieTrigeminusneuralgie
 
 
 
copyright © 2000–2026 Krause & Pachernegg GmbH | Sitemap | Datenschutz | Impressum
 
Werbung