Kitz K Das Gamma Knife - eine Übersicht Journal für Neurologie, Neurochirurgie und Psychiatrie 2002; 3 (3): 21-24 Volltext (PDF) Summary Übersicht | ||||||||||||
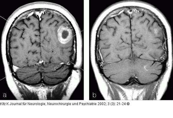
Abbildung 4a-b: Hirnmetastase - Planungs-MRT für Gamma Knife 4a: Hirnmetastase (multipel) bei Adeno-Ca der Lunge, Planungs-MRT (T1 mit KM, 3 mm). 4b: Kontroll-MRT (T1 mit KM) 7 Monate nach Gamma Knife und Ganzhirnbestrahlung. |
Abbildung 4a-b: Hirnmetastase - Planungs-MRT für Gamma Knife
4a: Hirnmetastase (multipel) bei Adeno-Ca der Lunge, Planungs-MRT (T1 mit KM, 3 mm). 4b: Kontroll-MRT (T1 mit KM) 7 Monate nach Gamma Knife und Ganzhirnbestrahlung. |
