| Kitz K | ||||||||||||
|---|---|---|---|---|---|---|---|---|---|---|---|---|
|
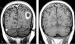
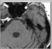
Das Gamma Knife - eine Übersicht Journal für Neurologie, Neurochirurgie und Psychiatrie 2002; 3 (3): 21-24 Volltext (PDF) Summary Abbildungen Keywords: Gamma Knife, Gefäßmalformation, Hirnmetastase, Hirntumor, Neurochirurgie, Radiochirurgie Die Radiochirurgie ist eine moderne Behandlungsform, bei der eine stereotaktisch-lokalisierte und scharf gebündelte Hochdosisbestrahlung eingesetzt wird, um kleine intrakranielle Prozesse schonend auszuschalten. Besonders in der Therapie benigner und maligner Hirntumoren hat sich die Radiochirurgie als wertvoll erwiesen und wird zunehmend als wirksame Alternative zur offenen Operation eingesetzt. Die Gamma Knife-Radiochirurgie ist eine sichere, effektive und kostensparende Alternative zur herkömmlichen Chirurgie und gilt weltweit als "goldener Standard" in der radiochirurgischen Behandlung von Hirntumoren, Gefäßmalformationen und funktionellen Erkrankungen. |
