Krause und Pachernegg
Verlag für Medizin und Wirtschaft
Artikel   Bilder   Volltext

Mobile Version
A-  |   A  |   A+
Werbung
 
Abbildungen und Graphiken
Werth S, Beyer-Westendorf J  
Fallbericht: Ultraschallgestützte Lysetherapie der Lungenarterienembolie

Zeitschrift für Gefäßmedizin 2014; 11 (2): 14-16

Volltext (PDF)    Praxisrelevanz    Abbildungen   


Abbildung
 
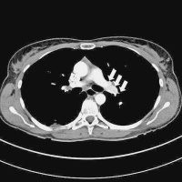
CT-Angiographie
Abbildung 1: CT-Angiographie mit bipulmonaler zentraler Lungenarterienembolie, als Kontrastmittel-Aussparung unter Betonung des Hauptstammes der linken Pulmonalarterie (Pfeile)


Keywords: CT-AngiographieGefäßmedizinLAE
 
 
Lysekatheter
Abbildung 2: Platzierung des EKOS-Lysekatheters in die Pulmonalarterie im linken Unterlappen.


Keywords: AngiographieGefäßmedizinLysekatheter
 
 
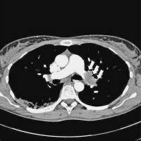
Verlaufskontrolle
Abbildung 3: CT-Verlaufskontrolle nach 6 Monaten mit nun freier zentraler pulmonalarterieller Strombahn (Pfeile).


Keywords: CTGefäßmedizin
 
 
Rechtsherzbelastung
Abbildung 4a-b: Rechtsherzbelastung mit massiver rechtsventrikulärer Dilatation auf 40 mm in der Akutphase (linkes Bild; Pfeile) und CT-Verlaufskontrolle nach 6 Monaten mit nun wieder normal großem (28 mm) und tailliertem rechten Ventrikel (rechtes Bild; Pfeile)


Keywords: CTGefäßmedizinRechtsherzbelastung
 
 
 
copyright © 2000–2026 Krause & Pachernegg GmbH | Sitemap | Datenschutz | Impressum
 
Werbung