Werth S, Beyer-Westendorf J Fallbericht: Ultraschallgestützte Lysetherapie der Lungenarterienembolie Zeitschrift für Gefäßmedizin 2014; 11 (2): 14-16 Volltext (PDF) Praxisrelevanz Übersicht | ||||||||
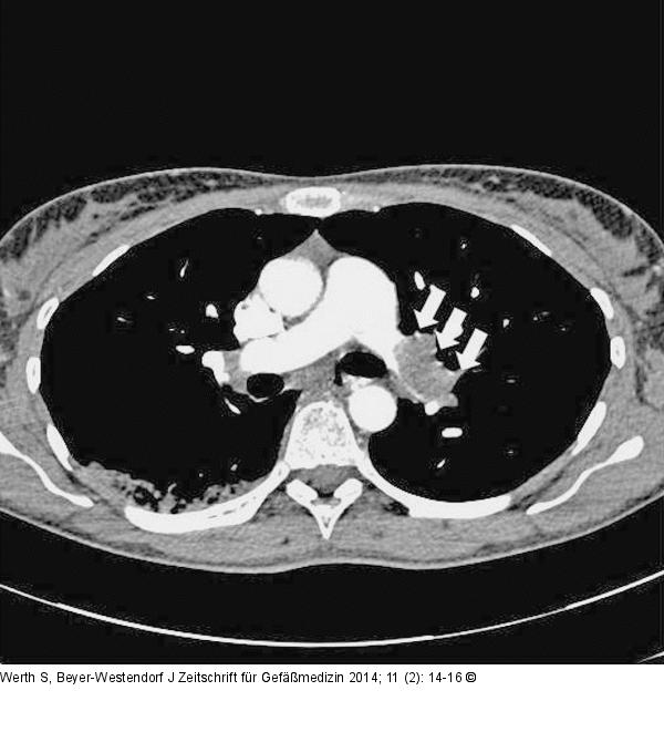
Abbildung 1: CT-Angiographie CT-Angiographie mit bipulmonaler zentraler Lungenarterienembolie, als Kontrastmittel-Aussparung unter Betonung des Hauptstammes der linken Pulmonalarterie (Pfeile) |
Abbildung 1: CT-Angiographie
CT-Angiographie mit bipulmonaler zentraler Lungenarterienembolie, als Kontrastmittel-Aussparung unter Betonung des Hauptstammes der linken Pulmonalarterie (Pfeile) |
