Werth S, Beyer-Westendorf J Fallbericht: Ultraschallgestützte Lysetherapie der Lungenarterienembolie Zeitschrift für Gefäßmedizin 2014; 11 (2): 14-16 Volltext (PDF) Praxisrelevanz Übersicht | ||||||||
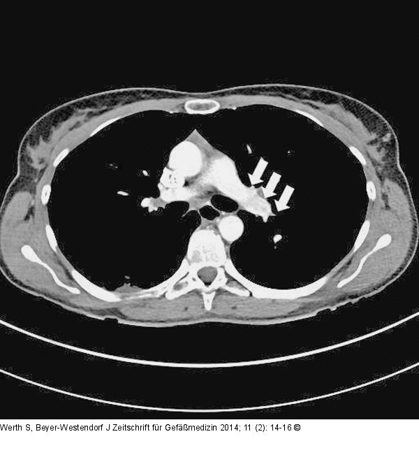
Abbildung 3: Verlaufskontrolle CT-Verlaufskontrolle nach 6 Monaten mit nun freier zentraler pulmonalarterieller Strombahn (Pfeile). |
Abbildung 3: Verlaufskontrolle
CT-Verlaufskontrolle nach 6 Monaten mit nun freier zentraler pulmonalarterieller Strombahn (Pfeile). |
