| Tiebel N et al. | ||||||||||||||||||||||||||||||||||
|---|---|---|---|---|---|---|---|---|---|---|---|---|---|---|---|---|---|---|---|---|---|---|---|---|---|---|---|---|---|---|---|---|---|---|
|
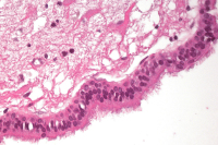
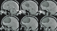
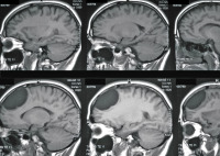
Fallbericht: Blickdiagnose "Arachnoidalzyste" erweist sich als Irrtum: akute Symptomatik einer 14 Jahre alten supratentoriellen endodermalen Zyste
Journal für Neurologie, Neurochirurgie und Psychiatrie 2015; 16 (4): 178-182 Volltext (PDF) Praxisrelevanz Abbildungen
|
||||||||||||||||||||||||||||||||||
