Tiebel N, Buhl R, Reifenberger G, Malzkorn B Fallbericht: Blickdiagnose "Arachnoidalzyste" erweist sich als Irrtum: akute Symptomatik einer 14 Jahre alten supratentoriellen endodermalen Zyste Journal für Neurologie, Neurochirurgie und Psychiatrie 2015; 16 (4): 178-182 Volltext (PDF) Praxisrelevanz Übersicht | ||||||||||
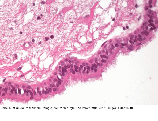
Abbildung 3: Endodermale Zyste Histologischer Befund in der Hämatoxylin-Eosin-Färbung: Die Zystenwand besteht aus mehrreihigem, hochprismatischem Flimmerepithel. Angrenzend erkennt man ZNS-Gewebe mit Ödem und reaktiver astrozytärer Gliose. |
Abbildung 3: Endodermale Zyste
Histologischer Befund in der Hämatoxylin-Eosin-Färbung: Die Zystenwand besteht aus mehrreihigem, hochprismatischem Flimmerepithel. Angrenzend erkennt man ZNS-Gewebe mit Ödem und reaktiver astrozytärer Gliose. |
