| Auer J et al. | ||||||||||||||||||||||
|---|---|---|---|---|---|---|---|---|---|---|---|---|---|---|---|---|---|---|---|---|---|---|
|
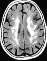
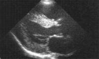
Eine seltene Ursache der hypertrophen Kardiomyopathie – Morbus Fabry // A Rare Cause of Hypertrophic Cardiomyopathy: Fabry’s Disease
Journal für Kardiologie - Austrian Journal of Cardiology 2018; 25 (7-8): 181-184 Volltext (PDF) Summary Abbildungen
|
||||||||||||||||||||||
