| Klotz S, Gelpi E | ||||||||||||||||
|---|---|---|---|---|---|---|---|---|---|---|---|---|---|---|---|---|
|
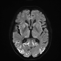
Creutzfeldt-Jakob-Krankheit, eine menschliche Prionenerkrankung // Creutzfeldt-Jakob-Disease, a human prion disease
Journal für Neurologie, Neurochirurgie und Psychiatrie 2020; 21 (1): 14-22 Volltext (PDF) Summary Praxisrelevanz Abbildungen
|
||||||||||||||||
