| Klotz S, Gelpi E | ||||
|---|---|---|---|---|
|
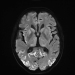
Creutzfeldt-Jakob-Krankheit, eine menschliche Prionenerkrankung // Creutzfeldt-Jakob-Disease, a human prion disease Journal für Neurologie, Neurochirurgie und Psychiatrie 2020; 21 (1): 14-22 Volltext (PDF) Summary Praxisrelevanz Abbildungen Keywords: Creutzfeldt-Jakob-Krankheit, Neurodegeneration, Prionenerkrankung Prion diseases, also referred to as transmissible spongiform encephalopathies (TSE), are rare lethal neurodegenerative diseases in humans and animals which are caused by the misfolded, transmissible prion protein. The fact that these diseases are transmissible raises concern and shows why an active surveillance of prion diseases is crucial to prevent an inadvertent transmission between humans. Prion disease is an umbrella term for a group of different conditions with different etiologies which can clinically present in different ways. The most common is sporadic Creutzfeldt- Jakob disease. In its classical form it presents with a rapid progressive dementia combined with movement disorders and certain MRI, EEG and CSF abnormalities. Currently, no diseasemodifying therapies are known, which is why all cases are usually rapidly lethal and only then a definite diagnosis can be established. An interesting and scientifically challenging aspect of prion diseases is that they also constitute a model disease for other neurodegenerative diseases. Kurzfassung: Prionenerkrankungen sind seltene und ausnahmslos letal endende neurodegenerative Erkrankungen bei Menschen und Tieren, die durch das fehlgefaltete, übertragbare Prion-Protein ausgelöst werden. Diese Übertragbarkeit bringt Verunsicherung mit sich und ist der Grund, weshalb Prionenerkrankungen aktiv überwacht werden, um so eine unbeabsichtigte Übertragung von Mensch zu Mensch zu verhindern. Man unterscheidet mehrere Prionenerkrankungen, welche wiederum diverse Ätiologien aufweisen. Die häufigste Form der menschlichen Prionenerkrankungen ist die sporadische Creutzfeldt- Jakob-Krankheit. Diese führt in ihrer klassischen Form zu einer rasch progredienten Demenz verbunden mit Bewegungsstörungen und bestimmten MRT-, EEG- und Liquor-Veränderungen. Eine krankheitsmodifizierende Therapie existiert derzeit noch nicht, weshalb die Fälle üblicherweise rasch zum Tode führen und auch erst dann eine definitive Diagnose gestellt werden kann. Interessanterweise können Prionenerkrankungen auch als sogenannte Modellerkrankungen für andere neurodegenerative Erkrankungen fungieren und sind daher von hohem Forschungsinteresse. |
