| Eschle D | ||||||||||
|---|---|---|---|---|---|---|---|---|---|---|
|
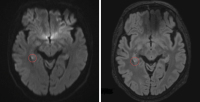
Wie spezifisch sind die klinischen Kriterien für die transiente globale Amnesie? // How specific are the clinical criteria for transient global amnesia?
Journal für Neurologie, Neurochirurgie und Psychiatrie 2021; 22 (2): 59-66 Volltext (PDF) Summary Praxisrelevanz Abbildungen
|
||||||||||
