Eschle D Wie spezifisch sind die klinischen Kriterien für die transiente globale Amnesie? // How specific are the clinical criteria for transient global amnesia? Journal für Neurologie, Neurochirurgie und Psychiatrie 2021; 22 (2): 59-66 Volltext (PDF) Summary Praxisrelevanz Übersicht | ||
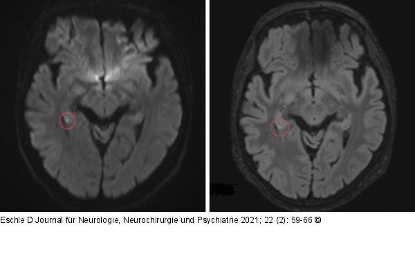
Abbildung 1: Punktförmige MRT-Läsion Exemplarische Magnetresonanztomographie mit einer typischen punktförmigen Läsion im rechten Hippokampus (Kreis) bei transienter globaler Amnesie: links: axiale DWI-Sequenz, rechts: FLAIR-Bild. ADC- und T2-Sequenzen nicht abgebildet (Bilder aus der Sammlung des Autors). |
Abbildung 1: Punktförmige MRT-Läsion
Exemplarische Magnetresonanztomographie mit einer typischen punktförmigen Läsion im rechten Hippokampus (Kreis) bei transienter globaler Amnesie: links: axiale DWI-Sequenz, rechts: FLAIR-Bild. ADC- und T2-Sequenzen nicht abgebildet (Bilder aus der Sammlung des Autors). |
