Krause und Pachernegg
Verlag für Medizin und Wirtschaft
Artikel   Bilder   Volltext

Mobile Version
A-  |   A  |   A+
Werbung
 
Abbildungen und Graphiken
Schuchlenz H  
Was kann das CT in der Prävention? // Cardiovascular imaging by CCTA can be used to optimise the process of primary prevention

Journal für Kardiologie - Austrian Journal of Cardiology 2022; 29 (3-4): 81-92

Volltext (PDF)    Summary    Abbildungen   


Abbildung
 
Verkalkung
Abbildung 1: Das Bild zeigt ausgeprägte Verkalkungen (Agatston-Score > 300) im Bereich des LM, der LAD und der LCX, dies sagt aber nichts über den Stenosegrad oder über das Vorhandensein von nichtkalzifizierten Plaques aus. LM: Left Main; LAD: Left Anterior Descending Artery; LCX: Left Circumflex Artery


Keywords: AtheroskleroseElektronenstrahltomographieKardiologieVerkalkung
 
 
Verkalkung
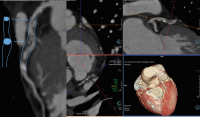
Abbildung 2: Nach dem Risiko-Score Hochrisikopatientin (75 Jahre, seit > 20 Jahren schlecht eingestellter DM und Hypertonus, BMI > 30; LDLc 130 mg/dl, TG 190 mg/dl, Z. n. zweimaliger Radiatio und Chemotherapie bei Neo. mammae). Mit diesem unauffälligen CCTA-Befund hat die Patientin eine exzellente kardiovaskuläre Langzeitprognose, profitiert sicher nicht von einer Primärprävention mit ASS oder einer Hochdosis-Statintherapie.


Keywords: AtheroskleroseCCTAKardiologieVerkalkung
 
 
Plaque
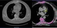
Abbildung 3: Diverse Plaques: Oberfl. stabile kalzifizierte Plaque in der proximalen LAD. (A): Längs-, (B): Querschnitt; (C): kleine, stabile, kalzifizierte Plaque in der proximalen RCA im Querschnitt (D), mehrere stabile kalzifizierte Plaques im LM oben und rechts unten im Längs-, links unten im Querschnitt in der Bifurkation; (E): Ausgeprägte Plaquelast in der LAD mit 50 HU einem Fibroatherom entsprechend; (F): Nicht-kalzifizierte Plaque in der RCA (F) im Längs- und (G) im Querschnitt (Fibroatherom); (H): Gemischte Plaque mit vorwiegend nicht-kalzifiziertem Fibroatherom und einem lipidreichen Anteil (30 HU), (I): im Querschnitt, kleiner Kalkspot um 14h, kleine Kalkschale 17–19h, zentral kleines Lumen, hohe Plaquelast im Halbkreis von 19–20h; (J): typisches NRS, hypodenser Plaque (51 HU) umgeben von einem hellen Ring, Lumen 15–17h; gemischte Plaque im Längsschnitt; (L): ca. 25 % Lumen, 50%ige Flächenstenose im distalen Hauptstammdrittel durch gemischte vulnerable Plaque mit positivem Remodelling, Kalkspot 20–22h, (M): 3D-Rekonstruktion der Hauptstammtrifurkation, siehe positives Remodelling im Winkel zwischen distalem LM und LAD. LM: Left Main; LAD: Left Anterior Descending Artery; RCA: Right Coronary Artery; NRS: Napkin Ring Sign; HU: Hounsfield Units


Keywords: CCTAKardiologiePlaque
 
 
Plaque
Abbildung 4: Hochrisikoplaque im Bereich der RCA, hohe Plaquelast, links oben NRS. RCA: Right Coronary Artery; NRS: Napkin Ring Sign


Keywords: CCTAKardiologiePlaqueVerkalkung
 
 
Plaque
Abbildung 5: Nach dem Risiko-Score Niedrigrisikopatient (40 Jahre, Grenzwerthypertonus, LDL-Cholesterin 120 mg/dl), in der CCTA: hohe Plaquelast im LAD-Bereich mit positivem Remodelling. Dieser Patient profitiert sicher von einer Hochdosis-Statintherapie und wahrscheinlich von einem Thrombozyten-Aggregationshemmer. LAD: Left Anterior Descending Artery


Keywords: CCTAKardiologiePlaqueVerkalkung
 
 
 
copyright © 2000–2026 Krause & Pachernegg GmbH | Sitemap | Datenschutz | Impressum
 
Werbung