Schuchlenz H Was kann das CT in der Prävention? // Cardiovascular imaging by CCTA can be used to optimise the process of primary prevention Journal für Kardiologie - Austrian Journal of Cardiology 2022; 29 (3-4): 81-92 Volltext (PDF) Summary Übersicht | ||||||||||
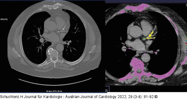
Abbildung 1: Verkalkung Das Bild zeigt ausgeprägte Verkalkungen (Agatston-Score > 300) im Bereich des LM, der LAD und der LCX, dies sagt aber nichts über den Stenosegrad oder über das Vorhandensein von nichtkalzifizierten Plaques aus. LM: Left Main; LAD: Left Anterior Descending Artery; LCX: Left Circumflex Artery |
Abbildung 1: Verkalkung
Das Bild zeigt ausgeprägte Verkalkungen (Agatston-Score > 300) im Bereich des LM, der LAD und der LCX, dies sagt aber nichts über den Stenosegrad oder über das Vorhandensein von nichtkalzifizierten Plaques aus. LM: Left Main; LAD: Left Anterior Descending Artery; LCX: Left Circumflex Artery |
