| Gmeiner M et al. | ||||||||||||||||||||||||||||||||||
|---|---|---|---|---|---|---|---|---|---|---|---|---|---|---|---|---|---|---|---|---|---|---|---|---|---|---|---|---|---|---|---|---|---|---|
|
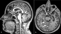
Neurochirurgischer Hybrid-Operationssaal: Erste Erfahrungen an der Universitätsklinik für Neurochirurgie Linz // Neurosurgical hybrid operating room: first experiences at the Kepler University Hospital Linz
Journal für Neurologie, Neurochirurgie und Psychiatrie 2022; 23 (2): 56-60 Volltext (PDF) Summary Praxisrelevanz Abbildungen
|
||||||||||||||||||||||||||||||||||
