Krause und Pachernegg
Verlag für Medizin und Wirtschaft
Artikel   Bilder   Volltext

Mobile Version
A-  |   A  |   A+
Werbung
 
Abbildungen und Graphiken
Aigner A, Lambert T  
EKG-Beispiel: Fallbeispiel eines akuten Koronarsyndroms mit Kammerflimmern

Journal für Kardiologie - Austrian Journal of Cardiology 2023; 30 (7-8): 182-184

Volltext (PDF)    Abbildungen   


Abbildung
 
EKG - Notaufnahme
Abbildung 1: EKG bei Vorstellung in der Notaufnahme. Es zeigen sich eine geringe ST-Streckenhebung in der Ableitung aVL sowie reziproke ST-Streckensenkungen in den Ableitungen II und III. Da die Ableitung III im Cabrerakreis in Richtung –60 ° zeigt, verhalten sich die Ableitungen aVL und III eindeutig reziprok zueinander, weswegen die Kombination der ST-Streckensenkungen in III gemeinsam mit der ST-Streckenhebung in aVL quasi einem STEMI-Äquivalent in zwei benachbarten Ableitungen des Cabrerakreises entspricht.


Keywords: EKGKardiologie
 
 
EKG - Reanimation
Abbildung 2: Kammerflimmern im Rahmen der Reanimation


Keywords: EKGKardiologie
 
 
EKG - Kontrolle
Abbildung 3: Kontroll-EKG unmittelbar nach erfolgter Reanimation. Es zeigt sich ein Sinusrhythmus mit drei vorzeitigen Kammerkomplexen. Die vorzeitigen Kammerkomplexe weisen eine idente QRS-Morphologie auf wie die Sinusschläge, wobei jenen in den Brustwandableitungen ektope P-Wellen vorangehen (Pfeile). Neben den Ischämiezeichen des ersten EKGs imponieren nun weitere Hinweise für eine akute Koronarischämie. Es finden sich ST-Streckenhebungen in aVL und aVR sowie ST-Streckensenkungen in II, III, aVF, V₃–V₆ im Sinne einer ausgeprägten Innenschichtischämie, wie sie auch bei einem sogenannten Hauptstammäquivalent beschrieben wird.


Keywords: EKGKardiologie
 
 
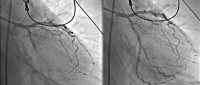
Koronarmorphologie
Abbildung 4: Darstellung der Koronarmorphologie der linken Koronararterie. Im linken Bild zeigt sich der Ramus circumflexus verschlossen. Im rechten Bild kommt nach der akuten Revaskularisation distal der Verschlussstelle eine Bifurkation zur Darstellung, deren Äste sowohl antero- als auch posterolaterale Areale des linken Ventrikels versorgen.


Keywords: AngiographieKardiologie
 
 
 
copyright © 2000–2026 Krause & Pachernegg GmbH | Sitemap | Datenschutz | Impressum
 
Werbung