Krause und Pachernegg
Verlag für Medizin und Wirtschaft
Artikel   Bilder   Volltext

Mobile Version
A-  |   A  |   A+
Werbung
 
Abbildungen und Graphiken
Angelmayr C et al.  
Radiologische Charakteristika der progressiven multifokalen Leukenzephalopathie bei Patienten unter laufender Natalizumab-Therapie im Vergleich zu Patienten mit onkologischen Grunderkrankungen – eine Gegenüberstellung im Rahmen zweier Fallberichte

Journal für Neurologie, Neurochirurgie und Psychiatrie 2025; 26 (2): 32-38

Volltext (PDF)    Summary    Praxisrelevanz    Abbildungen   


Abbildung
 
cMRT
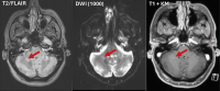
Abbildung 1: Patientin A: cMRT vom August 2023 (FLAIR-Sequenz, DWI-Sequenz, T1-Sequenz mit KM): subkortikale FLAIR-hyperintense und T1-hypointense Läsion rechts zerebellär (blaue Pfeile), mit randständig betonter Diffusionsrestriktion (grüner Pfeil), keine Kontrastmittelaufnahme


Keywords: cMRTDiagnoseNeurologiePMLprogressive multifokale LeukenzephalopathieSchädel-MRTzerebrale Läsionzerebrales MRT
 
 
cMRT
Abbildung 2: Patientin A: cMRT vom September 2023 (T2-Sequenz, T1-Sequenz mit KM): neue T2-hyperintense und T1-hypointense Läsion links cerebellär (blaue Pfeile) ohne Kontrastmittelaufnahme; DWI-Sequenzen wurden nicht durchgeführt


Keywords: cMRTDiagnoseNeurologiePMLprogressive multifokale LeukenzephalopathieSchädel-MRTzerebrale Läsionzerebrales MRT
 
 
cMRT
Abbildung 3: Patientin A: cMRT vom November 2023 (FLAIR-Sequenz, DWI-Sequenz, T1-Sequenz mit KM): Befundverschlechterung mit deutlicher Größenzunahme der Läsion links cerebellär mit peripherer Diffusionsrestriktion (blaue Pfeile), weiterhin keine Kontrastmittelaufnahme


Keywords: cMRTDiagnoseNeurologiePMLprogressive multifokale LeukenzephalopathieSchädel-MRTzerebrale Läsionzerebrales MRT
 
 
cMRT
Abbildung 4: Patient B: cMRT von Mai 2022 (FLAIR-Sequenz, DWI-Sequenz, T1-Sequenz mit KM): neu aufgetretene Kleinhirnläsion links (blauer Pfeil) mit Diffusionsrestriktion (grüner Pfeil), fleckig inhomogene KM-Speicherung der Läsion („milky way sign“, roter Pfeil)


Keywords: cMRTDiagnoseNeurologiePMLprogressive multifokale LeukenzephalopathieSchädel-MRTzerebrale Läsionzerebrales MRT
 
 
cMRT
Abbildung 5: Patient B: cMRT von September 2022 (FLAIR-Sequenz, DWI-Sequenz, T1-Sequenz mit KM): Befundprogredienz mit einer neuen fleckigen KM-aufnehmenden Kleinhirnläsion rechts (rote Pfeile)


Keywords: cMRTDiagnoseNeurologiePMLprogressive multifokale LeukenzephalopathieSchädel-MRTzerebrale Läsionzerebrales MRT
 
 
cMRT
Abbildung 6: Patient B: cMRT von November 2022 (FLAIR-Sequenz, DWI-Sequenz, T1-Sequenz mit KM): größenprogrediente Läsionen mit Volumseffekt und Diffusionsrestriktion, teils zentral zystisch konfiguriert (blaue Pfeile); sowie mit multiplen kleinnodulären KM-aufnehmenden Herden (rote Pfeile)


Keywords: cMRTDiagnoseNeurologiePMLprogressive multifokale LeukenzephalopathieSchädel-MRTzerebrale Läsionzerebrales MRT
 
 
cMRT
Abbildung 7: Patient B: cMRT von Dezember 2022 (FLAIR-Sequenz, DWI-Sequenz, T1-Sequenz mit KM): Befundbesserung mit Rückgang der Schwellung (blaue Pfeile), keine KM-Aufnahme mehr


Keywords: cMRTDiagnoseNeurologiePMLprogressive multifokale LeukenzephalopathieSchädel-MRTzerebrale Läsionzerebrales MRT
 
 
 
copyright © 2000–2026 Krause & Pachernegg GmbH | Sitemap | Datenschutz | Impressum
 
Werbung