| Srekl-Filzmaier P et al. | ||||||||||||||||||||||||||||||||||
|---|---|---|---|---|---|---|---|---|---|---|---|---|---|---|---|---|---|---|---|---|---|---|---|---|---|---|---|---|---|---|---|---|---|---|
|
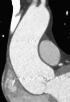
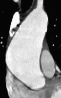
Personalisierte chirurgische Behandlungen bei Erkrankungen der aufsteigenden Aorta // Personalized surgical treatments for diseases of the ascending aorta
Journal für Kardiologie - Austrian Journal of Cardiology 2026; 33 (3-4): 64-69 Volltext (PDF) Summary Abbildungen
|
||||||||||||||||||||||||||||||||||
