Srekl-Filzmaier P, Laufer G, Andreas M Personalisierte chirurgische Behandlungen bei Erkrankungen der aufsteigenden Aorta // Personalized surgical treatments for diseases of the ascending aorta Journal für Kardiologie - Austrian Journal of Cardiology 2026; 33 (3-4): 64-69 Volltext (PDF) Summary Übersicht | ||||||||||
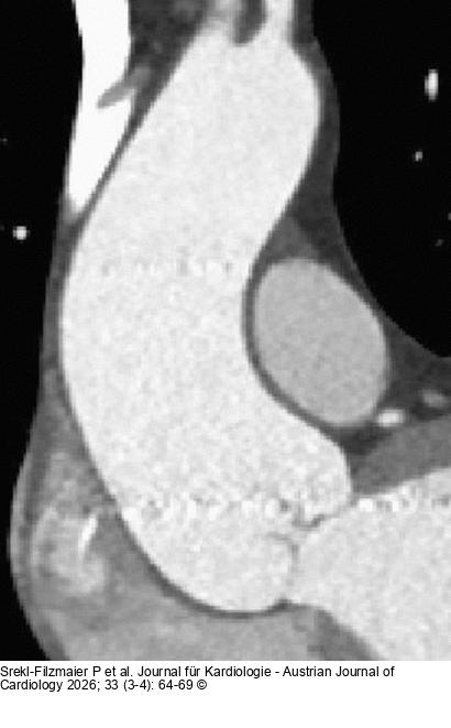
Abbildung 1: Phänotyp Abbildung 1: Wurzel-Typ |
