Krause und Pachernegg
Verlag für Medizin und Wirtschaft
Artikel   Bilder   Volltext

Mobile Version
A-  |   A  |   A+
Werbung
 
Abbildungen und Graphiken
Alesch F  
Stereotaktische Behandlungsmöglichkeiten des Morbus Parkinson

Journal für Neurologie, Neurochirurgie und Psychiatrie 2004; 5 (2): 50-55

Volltext (PDF)    Summary    Abbildungen   


Abbildung
 
Tiefe Hirnstimulation
Abbildung 1: Das Prinzip der tiefen Hirnstimulation. Die Elektroden befinden sich im Bereich der Basalganglien, des Thalamus oder des Subthalamus. Am Schädel sind sie mit Kappen aus Kunststoff befestigt. Der Impulsgeber befindet sich in der Pektoralis- Region. Das gesamte System ist vollständig implantiert.


Keywords: BasalganglienElektrodeGraphische DarstellungImplantationImpulsImpulsgeberNeurochirurgieNeurologieSubthalamusThalamustiefe Hirnstimulation
 
 
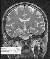
Morbus Parkinson - Nucleus subthalamicus
Abbildung 2: Prächirurgische kernspintomographische Aufnahme des Nucleus subthalamicus. Die Kernspintomographie erlaubt eine sehr gute Visualisierung der Zielstruktur im subthalamischen und pallidalen Bereich. Die geometrische Genauigkeit dieser Untersuchung reicht aber nicht aus, um ausschließlich darauf die Zielpunktberechnung zu basieren. Hierzu werden weitere Untersuchungen, wie Computertomographie und stereotaktisches Röntgen, benötigt.


Keywords: KernspintomographieMorbus ParkinsonNeurochirurgieNeurologieNucleus subthalamicus
 
 
Tiefe Hirnstimulation - Elektrodenimplantation
Abbildung 3: Mikroelektrodenableitung im Subthalamus. Die Exploration der Zielregion mittels Mikroelektroden stellt neben der reinen anatomischen Bestimmung mittels Bildgebung eine wichtige physiologische Lokalisationshilfe dar: Sie erlaubt nicht nur eine Überprüfung der korrekten Lage der Elektrode, sondern auch eine Bestimmung der Grenzen des jeweiligen Kernes. Das Bild zeigt die Dynamik der Mikropotentiale beim schrittweisen (2 mm) Vorschub der Elektrode.


Keywords: ElektrodenimplantationLageMikroelektrodeNeurochirurgieNeurologieNucleus subthalamicus
 
 
 
copyright © 2000–2026 Krause & Pachernegg GmbH | Sitemap | Datenschutz | Impressum
 
Werbung