Alesch F Stereotaktische Behandlungsmöglichkeiten des Morbus Parkinson Journal für Neurologie, Neurochirurgie und Psychiatrie 2004; 5 (2): 50-55 Volltext (PDF) Summary Übersicht | ||||||
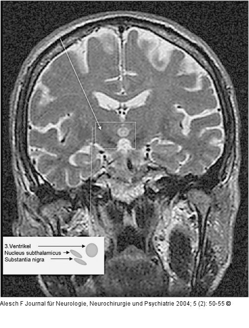
Abbildung 2: Morbus Parkinson - Nucleus subthalamicus Prächirurgische kernspintomographische Aufnahme des Nucleus subthalamicus. Die Kernspintomographie erlaubt eine sehr gute Visualisierung der Zielstruktur im subthalamischen und pallidalen Bereich. Die geometrische Genauigkeit dieser Untersuchung reicht aber nicht aus, um ausschließlich darauf die Zielpunktberechnung zu basieren. Hierzu werden weitere Untersuchungen, wie Computertomographie und stereotaktisches Röntgen, benötigt. |
Abbildung 2: Morbus Parkinson - Nucleus subthalamicus
Prächirurgische kernspintomographische Aufnahme des Nucleus subthalamicus. Die Kernspintomographie erlaubt eine sehr gute Visualisierung der Zielstruktur im subthalamischen und pallidalen Bereich. Die geometrische Genauigkeit dieser Untersuchung reicht aber nicht aus, um ausschließlich darauf die Zielpunktberechnung zu basieren. Hierzu werden weitere Untersuchungen, wie Computertomographie und stereotaktisches Röntgen, benötigt. |
