Krause und Pachernegg
Verlag für Medizin und Wirtschaft
Artikel   Bilder   Volltext

Mobile Version
A-  |   A  |   A+
Werbung
 
Abbildungen und Graphiken
Jankovic M et al.  
Fallbericht: Epileptische Anfälle nach intrathekaler Fluoreszeinapplikation

Journal für Neurologie, Neurochirurgie und Psychiatrie 2004; 5 (4): 46-50

Volltext (PDF)    Abbildungen   


Abbildung
 
Epileptische Anfälle - intrathekale Fluoreszeinapplikation
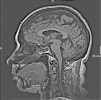
Abbildung 1: Die t1-gewichtete MRT des Gehirns in median-sagittaler Schnittführung zeigt den Operationsdefekt nach transsphenoidaler Hypophysenadenomoperation im Bereich der Keilbeinhöhle.


Keywords: GehirnKeilbeinhöhleMRTOperationsdefekt
 
 
Epileptische Anfälle - intrathekale Fluoreszeinapplikation
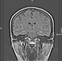
Abbildung 2: Die liquorsignalunterdrückte TIRM-Sequenz des Gehirns zeigt ein unauffälliges Signalverhalten der Hippokampusregion beidseits.


Keywords: GehirnHippokampusMRTTIRM-Sequenz
 
 
 
copyright © 2000–2026 Krause & Pachernegg GmbH | Sitemap | Datenschutz | Impressum
 
Werbung