Jankovic M, Güler N, Pirker W Fallbericht: Epileptische Anfälle nach intrathekaler Fluoreszeinapplikation Journal für Neurologie, Neurochirurgie und Psychiatrie 2004; 5 (4): 46-50 Volltext (PDF) Übersicht | ||||
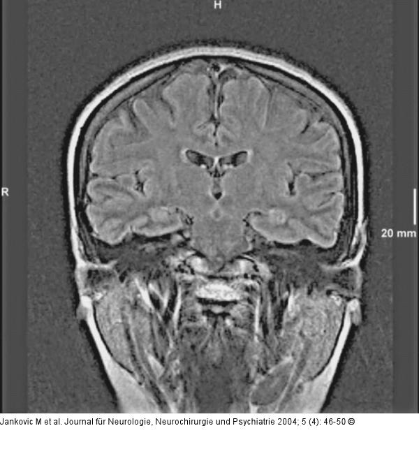
Abbildung 2: Epileptische Anfälle - intrathekale Fluoreszeinapplikation Die liquorsignalunterdrückte TIRM-Sequenz des Gehirns zeigt ein unauffälliges Signalverhalten der Hippokampusregion beidseits. |
Abbildung 2: Epileptische Anfälle - intrathekale Fluoreszeinapplikation
Die liquorsignalunterdrückte TIRM-Sequenz des Gehirns zeigt ein unauffälliges Signalverhalten der Hippokampusregion beidseits. |
