Jankovic M, Güler N, Pirker W Fallbericht: Epileptische Anfälle nach intrathekaler Fluoreszeinapplikation Journal für Neurologie, Neurochirurgie und Psychiatrie 2004; 5 (4): 46-50 Volltext (PDF) Übersicht | ||||
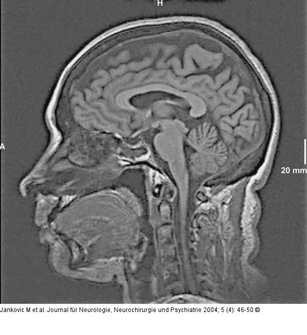
Abbildung 1: Epileptische Anfälle - intrathekale Fluoreszeinapplikation Die t1-gewichtete MRT des Gehirns in median-sagittaler Schnittführung zeigt den Operationsdefekt nach transsphenoidaler Hypophysenadenomoperation im Bereich der Keilbeinhöhle. |
Abbildung 1: Epileptische Anfälle - intrathekale Fluoreszeinapplikation
Die t1-gewichtete MRT des Gehirns in median-sagittaler Schnittführung zeigt den Operationsdefekt nach transsphenoidaler Hypophysenadenomoperation im Bereich der Keilbeinhöhle. |
