Krause und Pachernegg
Verlag für Medizin und Wirtschaft
Artikel   Bilder   Volltext

Mobile Version
A-  |   A  |   A+
Werbung
 
Abbildungen und Graphiken
Peer S et al.  
Radiologischer Follow-up nach chirurgischer Behandlung der morbiden Adipositas

Journal für Gastroenterologische und Hepatologische Erkrankungen 2007; 5 (1): 19-26

Volltext (PDF)    Summary    Abbildungen   


Abbildung
 
Magenbandimplantation
Abbildung 1: Schematische Darstellung der Magenbandimplantation: Injektionsreservoir (1), Verbindung zum Schlauchsystem (2), Tunnel mit Haltenähten (3).


Keywords: GastroenterologieMagenbandimplantationSchema
 
 
LAGB
Abbildung 2: Normalbefund nach LAGB: Das Band bildet mit der Längsachse der Wirbelsäule einen Winkel von knapp 50° (Normalwert von 5–60°).


Keywords: GastroenterologieMagenbandRadiologie
 
 
SAGB
Abbildung 3: Normalbefund nach SAGB (postoperative Untersuchung mit wasserlöslichem Kontrastmittel): Korrekte Bandachse des gering gefüllten (standardisierte Füllung!) Bandes (1), kleiner, normaler Magenpouch mit Luft-Kontrastmittel-Spiegel (2).


Keywords: GastroenterologieMagenpouchSAGBSchluckröntgen
 
 
LAGB
Abbildung 4: Lateral exzentrische Pouchdilatation nach LAGB: Das Magenband ist verkippt mit einem Phi-Winkel von > 90°. Kranial des Bandes findet sich ein großer, mit Kontrastmittel gefüllter Pouch (Pfeilspitze), der dem hochgerutschten Magenfundus entspricht. Die Passage durch das Magenband ist erhalten.


Keywords: GastroenterologieLAGBMagenbandPouchdilatationRöntgenbild
 
 
SAGB
Abbildung 5: Bandmigration bei Zustand nach SAGB: Das Magenband liegt nach kaudal und medial verkippt, das Kontrastmittel fließt vollständig über eine "Fausse Route" außen am Band vorbei. Im Bandstoma (Pfeil) ist kein Kontrastmittel zu sehen.


Keywords: GastroenterologieMagenbandRadiologieSAGB
 
 
AGB
Abbildung 6: Bandleck nach AGB: Partiell kontrastiertes Magenband (Pfeil) nach Anspritzen des Bandsystems. Breitflächiges Leaking am Bandrand (Pfeilspitzen).


Keywords: GastroenterologieMagenbandRadiologie
 
 
AGB
Abbildung 7: Bandleck nach AGB: Nach Anspritzen des Bandsystems zeigt sich ein kleines Leck an der Anschlußstelle zwischen Katheter und Silikonband (Pfeile).


Keywords: GastroenterologieMagenbandRadiologie
 
 
AGB
Abbildung 8: Bandleck nach AGB: Kontrastmittelinjektion in das Injektionsreservoir (1) mit wasserlöslichem, nichtionischem, isoosmolarem Kontrastmittel, über eine liegende Huber-Nadel (2). Der Katheter ist am Übergang zum Injektionsreservoir abgeknickt (3), wodurch es zu einem Kontrastmittelleck (4) kommt. Das Kontrastmittel der letzten Bandfüllung im Magenband (5) ließ sich am Beginn der Untersuchung nicht absaugen.


Keywords: GastroenterologieMagenbandRadiologie
 
 
Magenband
Abbildung 9: Schematische Darstellung vertikales Gastric Banding: Maschinelle Naht mit Abtrennung des Restmagens (1), Silikonband am Pouch-Ausgang (2).


Keywords: GastroenterologieMagenbandSchema
 
 
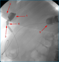
Magenband
Abbildung 10


Keywords: GastroenterologieMagenbandRadiologie
 
 
Roux-Y-Magenbypass
Abbildung 11: Schematische Darstellung des Y-Roux-Magenbypass: Restmagen (1), blindes Ende (2), maschinelle Naht (3), Magen-Outlet = Anastomose zur Roux-Schlinge (4), Fußpunkt-Anastomose (zur pankreatikobiliären Schlinge) (5).


Keywords: GastroenterologieRoux-Y-MagenbypassSchema
 
 
Roux-Y-Magenbypass
Abbildung 12: Normalbefund nach Roux-Y-Magenbypass (AP-Projektion): Stapelnaht (Pfeilspitzen) entlang des Restmagens (1), Magen-Outlet (2), Abnaht (Pfeile) der blind endenden Roux-Schlinge (3).


Keywords: GastroenterologieRadiologieRoux-Y-Magenbypass
 
 
Roux-Y-Magenbypass
Abbildung 13: Normalbefund nach Roux-Y-Magenbypass (LPO-Projektion): Gastroösophagealer Übergang (1), Restmagen (2), Magen- Outlet (3), Roux-Schlinge (4). Beachte die in dieser Projektion optimal einsehbare Anastomose zwischen Restmagen und Roux- Schlinge (3).


Keywords: GastroenterologieRadiologieRoux-Y-Magenbypass
 
 
Magenbypass
Abbildung 14: Zustand nach Magenbypass mit Anastomosenleck: a) Zustand nach Anlage eines ersten Stents (1) zur Überdeckung des Lecks, jedoch persistierender, massiver Kontrastmittelaustritt an der gastrojejunalen Anastomose (Pfeilspitze), mit Ausbreitung in den linken Oberbauch; b) überlappende Anlage eines 2. Stents (3) mit nun komplett abgedecktem Leck und unbehinderter Passage. Blindes Ende der Roux-Schlinge (2).


Keywords: GastroenterologieMagenbypassRadiologie
 
 
Roux-Y-Magenbypass
Abbildung 15


Keywords: GastroenterologieRadiologieRoux-Y-Magenbypass
 
 
 
copyright © 2000–2026 Krause & Pachernegg GmbH | Sitemap | Datenschutz | Impressum
 
Werbung