Peer S, Gruber I, Peer R Radiologischer Follow-up nach chirurgischer Behandlung der morbiden Adipositas Journal für Gastroenterologische und Hepatologische Erkrankungen 2007; 5 (1): 19-26 Volltext (PDF) Summary Übersicht | ||||||||||||||||
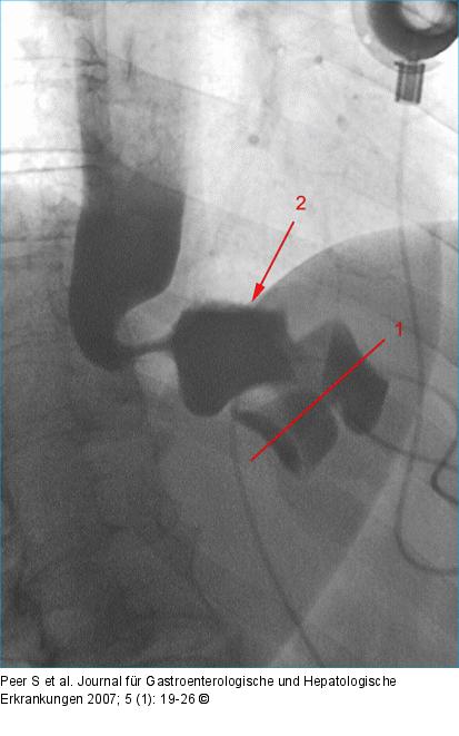
Abbildung 3: SAGB Normalbefund nach SAGB (postoperative Untersuchung mit wasserlöslichem Kontrastmittel): Korrekte Bandachse des gering gefüllten (standardisierte Füllung!) Bandes (1), kleiner, normaler Magenpouch mit Luft-Kontrastmittel-Spiegel (2). |
Abbildung 3: SAGB
Normalbefund nach SAGB (postoperative Untersuchung mit wasserlöslichem Kontrastmittel): Korrekte Bandachse des gering gefüllten (standardisierte Füllung!) Bandes (1), kleiner, normaler Magenpouch mit Luft-Kontrastmittel-Spiegel (2). |
