Peer S, Gruber I, Peer R Radiologischer Follow-up nach chirurgischer Behandlung der morbiden Adipositas Journal für Gastroenterologische und Hepatologische Erkrankungen 2007; 5 (1): 19-26 Volltext (PDF) Summary Übersicht | ||||||||||||||||||
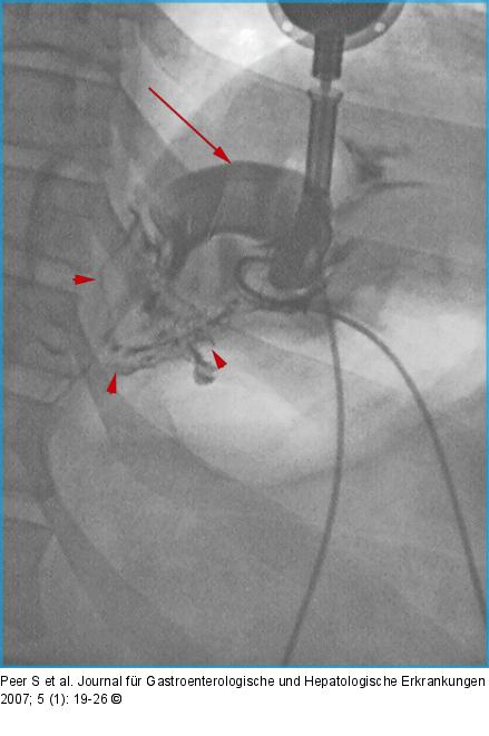
Abbildung 6: AGB Bandleck nach AGB: Partiell kontrastiertes Magenband (Pfeil) nach Anspritzen des Bandsystems. Breitflächiges Leaking am Bandrand (Pfeilspitzen). |
Abbildung 6: AGB
Bandleck nach AGB: Partiell kontrastiertes Magenband (Pfeil) nach Anspritzen des Bandsystems. Breitflächiges Leaking am Bandrand (Pfeilspitzen). |
